Hier finden Sie einen Überblick über das Leistungsangebot unserer Praxis in Lichtenstein.

Zahnerhalt

Regelmäßige Kontrolle, professionelle Zahnreinigung, Parodontitisbehandlung, amalgamfreie Füllung und Wurzelbehandlung.

Zahnersatz

Kronen, Teilkronen, Onlays und Brückenversorgungen bei festsitzendem Zahnersatz sowie Prothesen bei herausnehmbarem Zahnersatz.

Zahnästhetik

Bleaching, Veneers, Zahnschmuck und Zahnverbreiterung.

Zahnimplantate

Die passende Suprakonstruktion zu Ihren Implantaten.

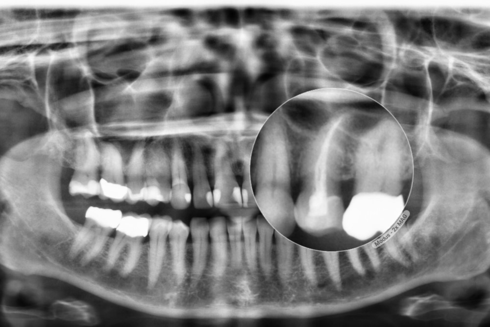
Digitales Röntgen

Modernes digitales Röntgen direkt in der Praxis.

Kinderbehandlung

Besondere kindgerechte Untersuchungen und Behandlungen.

Schienentherapie

Schmerzen im Kiefergelenk analysieren und lindern.

Angstpatienten

Einfühlsame und stressfreie Behandlung von Patienten mit Angst.

WordPress Cookie Plugin von Real Cookie Banner